Моя многолетняя практика!
Летягин Тарас Андреевич
Делимся кейсом, который относиться ближе эстетической части хирургической стоматологии.

Вы не ошиблись - в хирургии есть и эстетическая часть! Кровь и кости - безусловная часть программы - но и есть и эстетика!

Я себя нахожу во многих аспектах своей работы - но для обычных людей понятен именно раздел Периохирургии.

Сам Кейс:

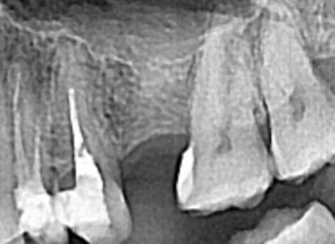
В рамках подготовки к ортодонтическому лечению мы всегда должны закрывать имеющиеся рецессии - чтобы не усугубить их перемещением зубов или изменением их наклона. Данного пациента мы готовим к ортодонтии.

На 23 зубе в области шейки и на 5 мм корня «заботливые» терапевты ранее установили пломбу, что является массовой ошибкой огромного количества стоматологов-терапевтов! Ппломба не должна находиться за пределами эмалевоцементной границы! Все что в пределах эмали - территория стоматолога-терапевта, все что за пределами эмали - территория периохирурга!

Отсюда имеем огромную рецессию в области 23 зуба и небольшие рецессии на соседних зубах!

Работы:

Мы заменили неправильную пломбу в области шейки 23 зуба на правильную - которая заканчивается в пределах эмалевой-дентинной границы и обеспечивает форму будущему десенному зениту. Поверхность корня обработали и сгладили (Root planing & Root Scaling), удалили смазанный слой ЭДТА гелем (Pref Gell).

С помощь микроблейда и набора для тональной пластики сформировали «тоннель» в области 21-22-23-24-25 зубов по методике Антона Скулиани и забрали деэпителизированный соединительнотканный трансплантат с неба. Завели его в тоннель, стабилизировали швами. Покрывной лоскут стабилизировали коронально смещающими швами.

На фото мы видим сдедующие этапы: состояние на 10 день, через месяц, через 2 месяца после операции...
Результат: рецессия закрыта, мягкие ткани плотные и стабильные - пациент готов к ортодонтическому лечению!
Давно я не радовал Вас кейсами с примерами своих работ...
- Кейсов Слава Богу в достаточном количестве!
Много времени занимает образовательная деятельность и огромный пласт лекционной работы!

Хочу поделиться показательным кейсом - где прекрасно видно, как должно быть!
- Где должен стоять имплант;
- Сколько должно быть мягкий тканей;
- Как должна выглядеть финальная реставрация.

Данный кейс мы провели вместе с моим замечательным ортопедом, профессионалом своего дела - Сергеем Гарматиным!

Что внутри:
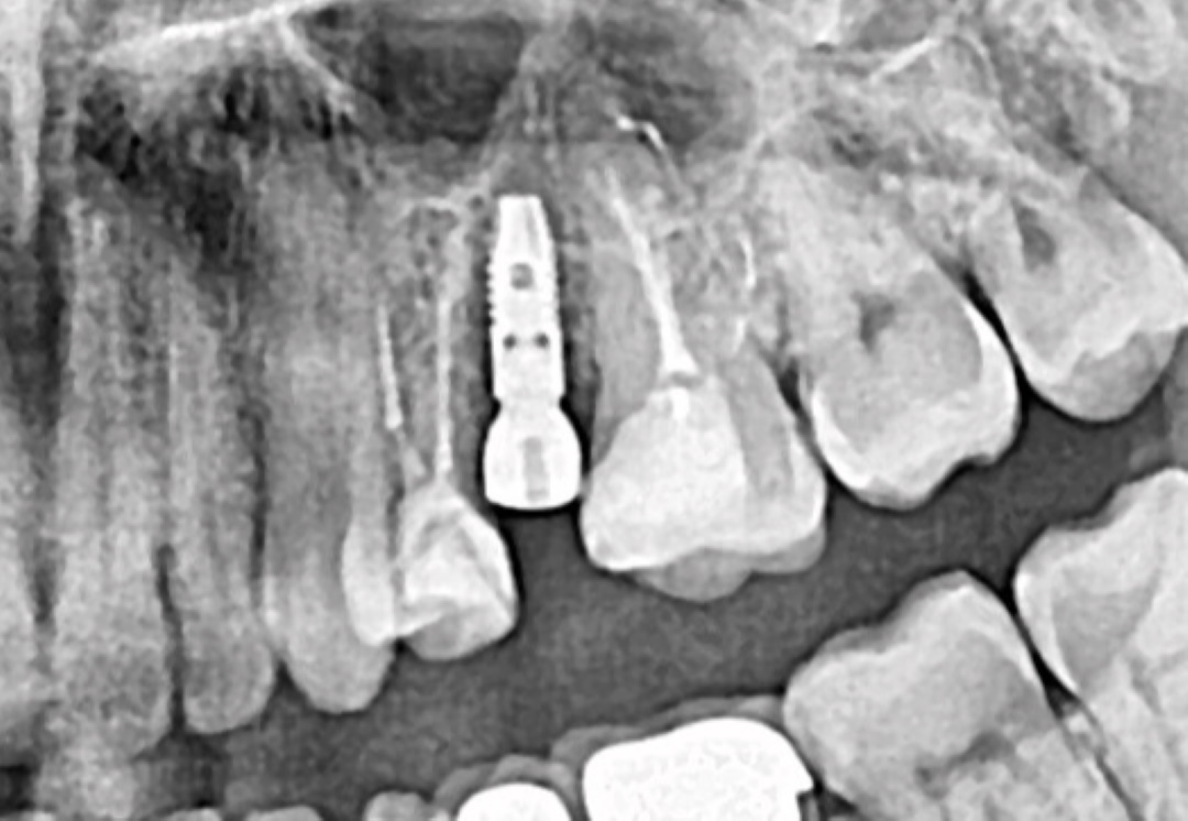
Ранее удаленный зуб 36 - незначительная атрофия по костным тканям и довольно выраженная атрофия по мягким тканям.

Имплант Straumann BLT 4.1*8mm SLActive - установлен в субкрестальное положение, произведено профилирование кортикальной кости системой Straumann Bone Profiler с целью создания более выгодного профиля прорезывания и исключения костной резорбции в области шейки импланта.

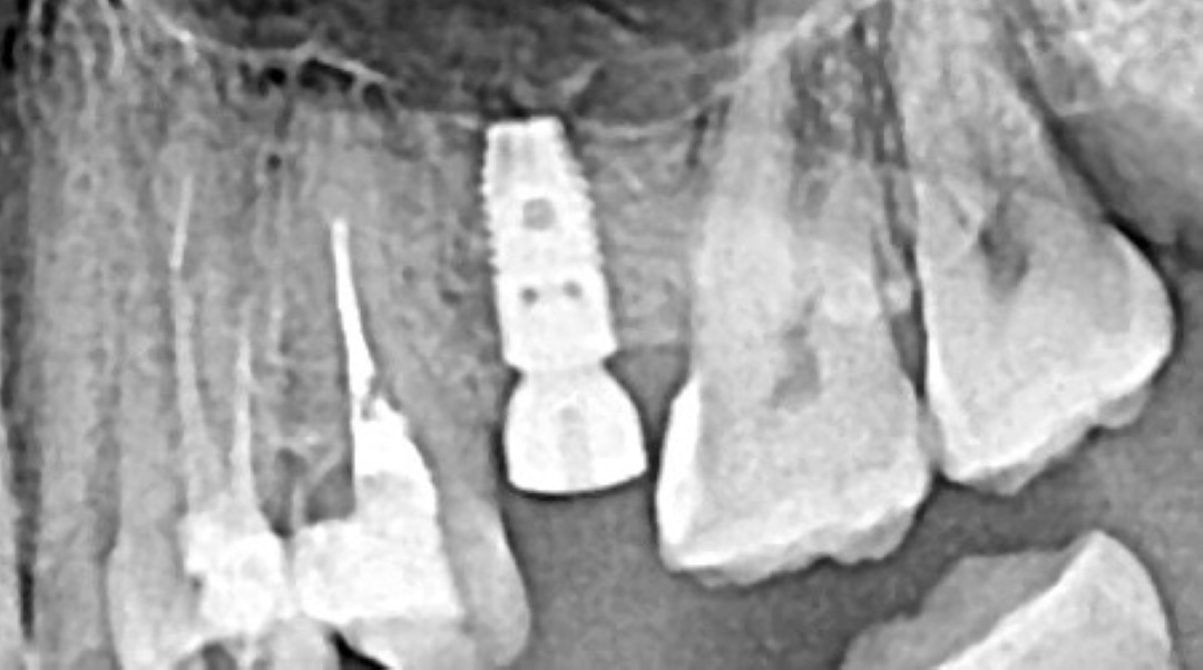
Чтобы компенсировать недостаточный объем мягких тканей проведена - мягкотканая пластика деэпителизированным соединительнотканным трансплантантом с неба.

Установлен заживляющий абатмент диаметром 6.5 мм.

Обратите внимание на объем и качество мягких тканей в области будущей финальной реставрации!

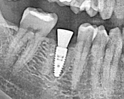
Финальная реставрация и диоксид циркония в полную анатомию методом раскрашивания.


Резюме:
Этот кейс мы с Сергеем смело относим к разряду простых - но, если посмотреть на него внимательно - здесь на каждом этапе есть определенные нюансы начиная от разреза и заканчивая финальной реставрацией.

Дьявол кроется в деталях.


PS...
Если кто-то думает, что такие работы невозможно испортить - то смею вас уверить - это легко сделать!
И к огромному сожалению, мы часто встречаем работы, где не было проведено ни должного планирования, ни должной реализации!
Мы реанимируем такие работы! Но есть большая разница между спасенной работой и идеальной выполненной работой сразу!
Operation Golden Bloody Tooth

- Миша, у меня рука не поднимается. - сказал я проводя анестезию. (Пойду перепроверю данные клкт - но я уже видел несколько раз - ошибки быть не может...)

- Посмотрите какая там подвижность?! - понимая наши сомнения предлагает Сергей...

- Подвижность и правда большая, порядка 4мм люфта в передне-заднем векторе!

- Может сразу два?!… - предлагает Миша, мы смеемся и начинаем операцию одну из самых сложных в моей практике!


Наша цель:

Зуб 11 ранее депульпированый, восстановленный циркониевой реставрацией (как и все остальные зубы). По данным клкт мы видим небольшой очаг деструкции костной ткани и предполагаем трещину корня. Также имеется увеличенный люфт зуба в передне-заднем векторе и незначительный дискомфорт...

Наша задача:

Максимально атравматично удалить зуб 11, установить имплантат с уверенным торком и провести временное протезирование. Пациент должен уйти с зубом.
Пару слов о Сложности...

Чисто технически - для меня на день сегодняшний данные операции полностью отработанный протокол - но все равно остаются небольшие риски потерпеть неудачу или одержать неполную победу (что для меня равносильно неудаче) и об этом я всегда помню.

Чисто психихологически - очень тяжело - пациент доверяет, верит в меня и товарища Михаила Нагрелли /@dr.m.nagrelli/, зона отвественности огромна, как и возложенные на нас ожидания, а еще и фронтальный отдел, а еще и приезжий пациент, а еще и врач...


Путь у успеху:

- Максимальная аккуратность и филигранность во всем. Разрезы, удаление, подготовка ложа, швы. Фронтальный отдел не дает возможности переиграть, сменить позицию, пересверлиться и тд...

- Четкий план - размеры импланта, позиция, временный абатмент...

- Немедленная нагрузка...

- Незаметность - зашли и вышли - как будто нас там не было!

Дальше все сами увидите...


PS...

Имплант: наш выбор очевиден на сегодня это - Straumann BLT 3.3*10mm SLActive!

Закрытие костного дефекта: Auto + Straumann Xenograft!

Временный абатмент: оригинал Straumann /потому что имеет золотисто-желтый цвет/...
Операция с применением навигационной хирургии!
P.S. Верхняя челюсть тоже требует оперативных вмешательств. Сейчас мы определяем план лечения и варианты протезирования верхней челюсти. Думаю скоро будет пост с продолжением этого случая.
Мы установили 6 имплантов Mis через навигационный шаблон на нижнюю челюсть. Сказать, что это было прекрасно и быстро — это ничего не сказать!
Длительность операции 40мин
Разрезов нет, швов нет, постоперационного отека нет.
В районе января 2020 мы провели операцию с применением навигационной хирургии.
Я рад, что такие технологии вливаются в нашу практику и переходят из разряда Фантастика — в разряд Обыденности.
Предварительно пациенту был изготовлен временный съемный протез на нижнюю челюсть.
Восстановление правой стороны с помощью имплантов.
В результате воспалительного процесса под старой ортопедической конструкцией был вынужден удалить опорные зубы. К сожалению объём воспаления не дал возможности провести одномоментную имплантацию. Вынужден ждать восстановления.
Спустя три месяца мы получили полное восстановление костной ткани. Мы установили 4 импланта в позиции 13, 14, 16, 17. Сразу были установлены формирователи десны.
Спустя три месяца вы видим отличный результат как на рентген снимке, так и на фото. Объема слизистой достаточно для начала ортопедического этапа.
Зуб 46 разрушен очень сильно, и больше не может выполнять функции.
На фото вид операционной зоны после операции и через 3 месяца дней после.
Как и всегда, я стараюсь провести максимальный комплекс в одну операцию: удаление, имплантация, костная пластика, пластика слизистой, установка заживляющего абатмента.
P/S Такие одномоментные операции упрощают и ускоряют работу, сохраняя объём костной ткани и слизистой. В результате мы получаем отличные условия для протезирования и результат нашей работы становится максимально прогнозируемым.
Протезировать, а тем более реставрировать его бесполезно и бессмысленно. Принято решение заменить его имплантом Strauman SLActive (система входит в топ 5 по миру).
Я провёл много операций разной степени сложности. Много людей доверились мне. Но все же еще более высшая степень признания — когда тебе доверяют доктора! Доверяют настолько, что становятся именно твоими пациентами!
46 — трещина в медиальном корне — причина титанов штифт установленный под неправильным углом. Как следствие трещины переодические ноющие боли после приема пищи.
Две недели после операции.
Что сделали: атравматичное удаление, установка импланта Straumann BLT 4.1x10mm, формирователь, костная пластика, пластика слизистой, APRF. Операцию провели одномоментно — сохранили объём кости, слизистой.
Очень люблю работать в команде с ортодонтами — эти Ребята создают оптимальные условия для установки имплантатов, избавляют нас от компромиссов.
Спустя 4 месяца установили формирователи слизистой и отправили на протезирование к ортопедам.
Потеря зуба 16 привела к уменьшению межзубного расстояния и смещению зуба 17 в строну.
Мы не могли установить Имплант и рассчитывать на адекватное протезирование.
Очередонй пример «маленькой ортодонтии» и большой хирургии.
Ортодонт Мосунова И.В. создала нам пространство под новый зуб.
Мы провели хирургию. Синус лифт с имплантацией 16 на верхней челюсти; имплантация 46, 47 на нижней.
Имплантация в области 26 зуба.
Пациент направлен доктором ортопедом из другой клиники на установку импланта Astra tech в область давно утраченного зуба.

В ходе диагностики мы понимаем: уменьшение длины зубного ряда за счёт мезиального смещения зубов 27 и 28.

Мы можем прогнозировать, что будущий зуб будет меньшего размера чем должен.

Было предложено смещение зубов с помощью ортодонтических микровинтов.

К сожалению, пациент отказался от локальной ортодонтии.
Мне не очень нравятся такие операции, потому что я знаю возможности моей команды и знаю какой возможен результат!

Но лечащий доктор и пациент были за упрощённую схему восстановления...
Очередной пример простой имплантации
в области зуба 46.
Сложность 1/10.
Время 20 мин.
Объёма костной ткани и объема слизистой более чем достаточно.
Условия идеальные.
Установлен имплант Inno implants 4,5x10mm.
Установлен формирователь.
Ещё один простой случай имплантации
в подготовленную кость.
Пациент обратился из другой клиники по рекомендации врача—ортопеда.
Врач высказал пожелания по модели импланта, 3D позиции импланта и дальнейшему протезированию.
В область зуба 25 был установлен имплант Astra tech.
Установлен формирователь слизистой.
Произведена пластика мягких тканей.
От временного протезирования пациент отказался.
Сложность операции 2/10.
Время работы 20 мин.
P.S. Стараюсь проводить максимальный объём возможных манипуляций за одну операцию.
Возможно это не соответсвует «классике» — но так работают все продвинутые хирурги в мире.
На практике уменьшение количества этапов приводит к лучшим результатам - сокращению времени проведённом пациентом в кресле и уменьшению сроков реабилитации пациента.
На фото показано операционное поле на момент операции и через 7 дней в момент снятия швов.
Начинаю отчёт за рабочую неделю.
Было много работы и мало свободного времени!
Начнём с простого, для разминки:
Зуб 24 отсутсвует около года.
Костной ткани достаточно, слизистой немного не хватает,
но мы это исправим в процессе операции.
Установил имплант Inno 3,5*8.
Сразу установили формирователь десны
и провели пластику мягких тканей.
Сложность операции 2/10.
Время работы 20 мин.
P/S. Стараюсь проводить максимальный объём возможного вмешательства за один раз. Не вижу смысла разделять операцию на этапы и подвергать пациентов лишнему стрессу.
Случай простой имплантации
в области зуба 36
Все банально: удалён зуб более 6 месяцев назад; много кости, много слизистой — мечта имплантолога.
Что было сделано: установили имплант, установили формирователь десны, усилили слизистую Aprf мембранной. Протезирование через 3 месяца.
Сложность 1/10
Время работы 15 мин.
Ещё один случай одномоментной имплантации в жевательном отделе. Пациента отправили ко мне из другой клиники с просьбой провести операцию по удалению зуба ранее восстановленного культевой вкладкой и металлокерамической коронкой; на дистальном корне по данным КЛКТ имеет большой очаг деструкций кости.
Я был бы не я — если бы просто согласился и молча удалил зуб. Я всегда стараюсь минимизировать количество оперативных вмешательств, съеденных таблеток и уменьшить период реабилитации пациента.
Что было сделано: провели атравматичное удаление зуба 46, удалён воспалительный элемент в области дистального корня, установлен имплант, костная пластика, пластика слизистой, установлен формирователь десны.
В итоге: через 3 месяца пациент будет жевать новым зубом. А если бы мы пошли по «классике» то истории бы растянулась до 6—7 месяцев.
Время операции 45 мин.
Сложность 4/10
Ещё один пример одномоментной имплантации. Пациент обратился с продольным переломом колонковой части зуба 46. К сожалению: линия перелома оказалась ниже уровня дёсны — спасти такой зуб невозможно.
Пациент признал, что ему предлагали закрыть этот зуб коронкой несколько лет назад — но он отказался, посчитал это нецелесообразным.
Мой совет: если врач-стоматолог советует вам поставить коронку на тот или иной зуб — это не просто слова — есть показания. Обязательно идите на консультацию к ортопеду!
Операция от начала до конца заняла 46 минут. Удалили зуб 46, установили имплант 46, провели костную пластику, пластику слизистой, установили формирователь десны.
Сложность 4 из 10.
К нам обратилась пациентка с острой стоматологической проблемой: сломалась реставрация на фронтальных зубах верхней челюсти.
Реставрация держалась на двух клыках (13, 23).
Через 48 часов она улетала в отпуск.
Ранее она получила консультацию в другой клинике, где ей предложили вариант удалить клыки, изготовить съемный протез после приезда из отпуска и спустя полгода установить импланты.
Естественно такой вариант не устроил нашу пациентку.
Так по совету своих друзей она обратилась к нашей команде. Мы провели диагностику, составили план операции, дальнейшей реабилитации и принялись за работу.
Про операцию:
одномоментная имплантация в области клыков редко вызывает какие-то трудности.
Обычно у нас есть большой объём кости во всех направлениях, мы можем использовать объемные и длинные импланты, но в этом случае мы столкнулись с тремя проблемами:
1. Из за продольного перелома левого клыка (зуб 23) был получен большой дефект передней кортикальной пластины. Передней кортикальной пластины в это области нет.
2. Постоянных зубов 12 и 22 не было — адентия. Как следствие уменьшение длинны зубного ряда и отсутсвие костных объемов.
3. Утрата фронтальных 11 и 21 и длительное ношение мостовидной реставрации привели к выраженной атрофии кости в этом отделе.
Чтобы получить достойный результат в конкретной ситуации пришлось учесть ряд моментов.
Я не мог использовать импланты большого диаметра, потому что они уменьшали длину зубного ряда верхней челюсти и смещали области прорезывания зубов вперёд.
Поэтому я выбрал импланты Straumann BLT 3,3x12 (сплав roxolite выдержит нагрузку, а корневидная форма и умеренно агрессивная резьба позволит получить отличную первичную стабильность).
Потерю кортикальный пластины в области 23 зуба мне хотелось перекрыть по технике IDR, но к сожалению не нашлось зоны забора трансплантата.
Можно было использовать классическую технику НКР — но тогда рискованно делать временное протезирование.
Было принято решение использовать титановую пластину и костный блок и смесь ауто и ксено графта (для восстановления костной ткани в области 23, исключения осложнений, атрофии, обеспечения хорошего костного объёма в этой области).
Идея использования старой реставрации была сразу исключена.
Мы провели операцию вечером, спустя сутки Кущян Армен Александрович (ортопед) зафиксировал временную реставрацию.
Результат устроил всех, но впереди ещё много работы потому что мы хотим получить отличный результат не только во фронтальном отделе, а во всей полости рта. На фото еще сохраняется послеоперационный отёк.
Мы работаем в команде — видим и решаем все проблемы пациента, даже те о которых он ни задумывался и не знал, либо порой просто считал нормой!
Делюсь опытом!

Одномоментная хирургия без разрезов!

Исходная картина - зуб 14 и 46 разрушена коронковая часть на 90%.

Восстановление с помощью ортопедических конструкций невозможно.

Пациент направлен ортопедом на хирургию: удаление зубов 14 и 46, установку имплантов по возможности одномоментно.

Костные условия: в области 14 хорошие, не хватает только пары миллиметров высоты для установки импланта - будет проведён закрытый синус лифтинг в этой области.

В области 46 костные условия замечательные: имеется массивная межкорневая перегородка и большой запас глубины.

Смотрим результат:
Летягин Т. А.
21 век - современная стоматология.
Операция прошла по плану:
зубы 14 и 46 удалены,
в области 14 произведён закрытый синус лифтинг,
установлены импланты Inno Implants 4,0x10mm и 4,5х10mm.

Первичная стабильность более 30 Nm (вполне достаточно для временного протезирования, но пациент отказался).

Установлены формирователи дёсны вместе с биологической мембраной APRF, наложены швы для стабильности мембраны.

Операция прошла без разрезов.
Время операции 55 мин
Сложность 4/10
Один из случаев
Бывают случаи, когда одномоментная имплантация невозможна или крайне рискована.
Зубы 37 и 36 ранее лечены неоднократно по осложнённому кариесу.
В итоге у нас в области верхушек зубов очаги деструкции диаметром 8—9 мм.
Воспалительный процесс находился в хроническом состояние.
Обсудив все риски и возможные осложнения - мы пришли к выводу:
нам лучше пойти по классической схеме Имплантации
«удалили - подождали, поставили - подождали, запротезировали»
Период ожидания между этапами составлял 3 - 4 месяца.
1 этап - удаление зубов 36, 37. Удаление воспалительных очагов, костная пластика.
2 этап - контроль заживления.
3 этап - установка имплантов Strauman BLT.
Через три месяца пациент придет к ортопеду на изготовление циркониевых коронок и восстановление окклюзии.
Стабильно 3 - 4 раза в месяц удаляю премоляры верхней челюсти, которые были ранее депульпированы, но не закрыты коронкой.

В результате неправильного распределения жевательной нагрузки происходит перелом стенки/коронки/корня зуба.

1 из 10 переломов удачный и зуб получается спасти - остальные 90% удаляются и замещаются имплантами.

Очень важно удалить зуб и установить имплант в один этап - это исключает потерю кости, атрофию, потерю десневых сосочков и десневого контура, а также сильно облегчает будущее протезирование!
Летягин Т. А.
21 век - современная стоматология.
Премоляры в зоне риска!
Клинический случай:

зуб 14, ранее лечен по осложнённому кариесу, не закрыт коронкой; перелом коронкой части.

Произведено удаление корня зуба, установлен имплант, костная пластика, установлен формирователь.

Время операции 35 мин.
Сложность 3/10.
Разрушенные зубы в 21 веке удаляются и заменяются имплантами!

В 90% случаев - это одна операция и нет необходимости ждать 6 месяцев пока восстановится костная ткань.

Зубы полностью восстановленные из пломбы не несут никакой функциональной нагрузки, но несут целую кучу проблем:

- Воспаление слизистой;
- Деструкцию костной ткани;
- Формируют очаги инфекции.

Смотрим ниже:
Летягин Т. А.
21 век - современная стоматология.
Клинический случай:
по данным КЛКТ и данным визуального осмотра диагносцируем разрушенность коронковых частей 45, 46 зубов более 70%, кариозные процессы ниже уровня дёсны, а также воспалительные процессы.

Зубы 45,46 удалены.
Установлены импланты в позиции 45, 46, 36.
Произведена костная пластика, пластика слизистой.
Установлены формирователи десневого края, наложены швы.

Время операции 1 ч. 20 мин.
Сложность 4/10.
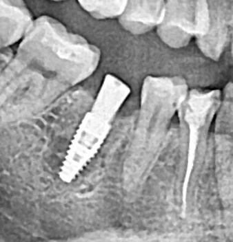
Имплантация...
Имплантация в подготовленный участок нижней челюсти в позиции 46.
Костные условие отличные.
Что может быть проще!?
Но, есть нюансы!
  • Многие хирурги смотрят только на кость, забывая про слизистую и ее значение для длительной и беспроблемной эксплуатации будущего зуба.

    Не стоит забывать что слизистая - выполняет защитную функцию. Слизистая - это щит/броня. Чем толще слизистая — тем более стабильно будет чувствовать себя имплант на протяжение времени.
  • Помимо установки импланта, я установил формирователь десны и провёл пластику слизистой, чтобы получить более толстую и плотную десну к моменту протезирования.

    Никаких дополнительных хирургических манипуляций в этой зоне не планируется. Все было проведено в один этап.

    Через 3 месяца ортопед заменит формирователь на более широкий или сделает индивидуальный формирователь десны по форме шейки будущей коронки.
Клинический случай...
Отсутствие зуба 25
в течение очень длительного времени.

Смещение зуба 26 вперёд - дефицит места.

От ортодонтического лечение отказались.
Этап первый
Установлены ортодонтические винты в область бугра верхней челюсти слева, дана ортодонтическая тяга.
Этап второй
Через 3 месяца мы получили необходимое расстояние и установили имплантант Strauman Blt.
Этап третий
Ещё через 3 месяца мы убедились что имплант полностью интегрирован - пациент передан ортопеду на финальный этап - установку циркониевой коронки и реабилитацию эстетической зоны улыбки.
Доктора:
Ортодонт: Мосунова Ирина Вадимовна.

Хирург-имплантолог: Летягин Тарас Андреевич.
Напишите мне лично!
У Вас есть вопрос, предложение, пожелания - смело пишите Мне!
Друзья! Проверяйте Вашу контактную информацию!
Нажимая на кнопку, вы даете согласие на обработку персональных данных и соглашаетесь c политикой конфиденциальности.