Борьба с Мудростью!
Летягин Тарас Андреевич
Зубы мудрости оставим на потом...
Мое отношение к удалению зубов: это операция большая или маленькая — не имеет значения — она проходит по принципам хирургии. Как и в любом вмешательстве могут быть осложнения — поэтому я стараюсь проводить удаление зубов мудрости строго поштучно — чтобы было проще контролировать процесс заживления.

Но современный ритм жизни и быстро меняющиеся планы иногда заставляют меня ускорять сроки и увеличивать объемы операций.

Пациент решил координатно поменять образ и место жизни. Вспомнил про зубы мудрости, только когда они о себе сами напомнили — примерно за две недели до отлёта.

Задача простая: 4 зуба мудрости — срок 10 дней!

Я решил разделить план на 2 операции: правая сторона, потом левая.
Все прошло успешно, мы справились — пациент улетел в тёплые страны без зубов мудрости и каких—либо осложнений.
Удаляйте зубы мудрости вовремя — и вам будет легче и доктору спокойнее!
Удаление зубов мудрости, как часть программы ортодонтического лечения!
Вот 4 маленьких операции, которые мы провели в течение месяца в рамках подготовки пациента к установке брекетов.
Я очень много работаю с ортодонтами: иногда они помогают мне создать необходимое пространство для установки импланта и дальнейшего протезирования, а иногда я удаляю «злые» зубы мудрости, чтобы облегчить им течение процесса лечения.
Зуб 38, от которого отказались в других клиниках.
Довольно простой случай, ничего сверхъестественного. Однокорневой зуб, упирается в 37. Тактика удаления простая: распиливаем пополам, отделяем коронковую часть, освобождаем места для манёвра; следом удаляем оставшийся корень; консервируем лунки сгустками ACRF (обогащённый клетками фибрин), красиво зашиваемся! Все!
Сложность 4/10.
Время работы 36 мин.
До сих пор не понимаю почему???
Верхние зубы мудрости тоже умеют удивлять!
Зуб 28 не сложный по структуре корневой системы, но расположен крайне неприятно — коронковая часть плотно упирается в 27, что создавало основные трудности. После отделения колонковой части все пошло как по маслу.
Сложность в ограниченном доступе, обзоре и сомнительном открывание полости рта. Работали через несколько зеркал, чтобы хоть что-то видеть. Пришлось привлечь еще одну пару рук.
Сложность 7/10
Время работы 45 мин.
Одна из самых сложных операций
по удалению ретинированного зуба мудрости!
- Зуб 38 полностью в костной ткани.

- Коническая форма корня усложняет процесс экстракции.

- Наличие плотной костной ткани в углу нижней челюсти.

- Нижнечелюстной канал с 0,1мм от верхушки зуба.

- И для полной картины — разделение корня на 2 отдельно расположенных верхушки!
Я использовал все инструменты, тактики, фишки и тд!
Но этот зуб был уникальным — он сказал мне думай шире!
Мы это сделали а амбулаторных условиях.
Пациент доволен, осложнений нет, все отлично заживает!
Могу с полной уверенностью сказать, что это был самый сложный случай на моей практике!
Время операции 100 минут! Сложность 10/10!
В чем сложность?
Зуб мудрости повышенной сложности!
48 ретинирован, дистопирован вперёд и во внутрь, двухкорневой.
Сложность в удаление этого зуба:

- Положение;
- Коронка 48 упирается в корень 47;
- Минимизация травмы.
Во время операции были применены:
повышающий хирургический наконечник, пьезохирургический скальпель, APRF технология.

Комплекс этих технологий уменьшил зону доступа, минимизировал травму и ускорил заживление.
Уровень сложности 8/10.
Время работы 1 ч. 15 мин.

Со слов пациента:
было выпито две таблетки обезболивающего.

Об операции недолгое время напоминали только швы!
Ошибки мудрости!
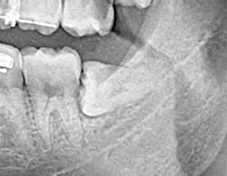
Неправильно расположенный зуб мудрости может привести к потере других зубов!
На рентген снимке видно: зуб 28 упирается в корни зуба 27, что привело к рассасыванию корневой системы.
Оба зуба были удалены, произведена костная пластика.
Через 3, 4 месяца в область 26 и 27 буду установлены импланты.

Уровень сложности 5/10
Время работы 45 мин.
Очередной сложный 38!
Очередной сложный зуб мудрости:
38 ретинирован, дистопирован вперёд и во внутрь, двухкорневой.
Основная сложность в удалении — коронка зуба практически полностью закрыта костной тканью — необходимо создавать доступ и работать через него.
Я стараюсь создавать минимальные зоны доступа, что бы минимизировать травму и уменьшить период реабилитации.
Уровень сложности 7/10
Время работы 1 ч. 5 мин.

После удаление произведён рентген контроль, что бы пациент и я (доктор) были полностью уверенны в качестве оказанных услуг!
Зуб 38 (левый нижний)...
ретинированный, дистопированный медиально, двухкорневой.
Контактирует с зубом 37.
Мой уровень сложности 6 из 10.
Время работы 54 мин.
Удаление таких зубов сопровождается сепарацией коронковой части и корней.
После удаления я обязательно провожу консервацию лунки остеопластическими материалами, APRF мембраной и накладываю швы.
Работаю под увеличением 4х, с использованием пьезохирургической установки, повышающего накочника и подачей физраствора.
Доступ минимальный, травма минимальная, быстрое заживление.
Отсутствие осложнений.
Зубы мудрости считаются самыми вариативными в плане анатомии.

В простых случаях удаление этого зуба не вызывает проблем ни на этапе хирургии, ни на этапе заживления.

Но есть «мутанты», которые заставляют попотеть!

За удаление таких зубов берётся не каждый доктор.

Многие отправляют ко мне — у меня есть все что нужно для победы в этой войне!
Летягин Т. А.
Победа в Войне с мудростью!
Напишите мне лично!
У Вас есть вопрос, предложение, пожелания - смело пишите Мне!
Друзья! Проверяйте Вашу контактную информацию!
Нажимая на кнопку, вы даете согласие на обработку персональных данных и соглашаетесь c политикой конфиденциальности.